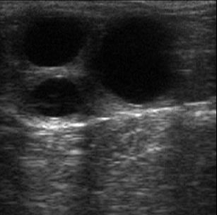
The birth of the Royal baby is still making the news headlines, so what better time to write about the use of veterinary ultrasound during equine pregnancy? Those that work within the equine field will be familiar with the problem surrounding the establishment of twin pregnancies, with the general consensus stating that twin pregnancies should be reduced wherever possible to avoid the possibility of damage to either the mare and/or the foal(s). As a consequence, embryo elimination is commonly carried out in such cases, making twin equine pregnancies somewhat of a rarity.
The establishment of a twin pregnancy can be detected with the use of veterinary ultrasound. There are a number of specialised veterinary scanning machines that can be used by practitioners to image the equine embryo, and it is important that the most suitable scanner is chosen. For more information on ultrasound scanners for use with the veterinary species, including the ranges available and the training required to use them, please visit a specialist veterinary ultrasound machine stockist.
If you would like to know more about the equine twin pregnancy ‘dilemma’, including the different types of embryo elimination carried out and the success rates of such procedures.
Written by Dr Melissa Fletcher.


Leave a Reply
You must be logged in to post a comment.